Saphenion®: Venenkleber und Mikroschaum simultan?
Saphenion®: vein glue and microfoam simultaneously?
Saphenion®: Venenkleber und Mikroschaum simultan? Bisher hatten wir in unserer Therapieplanung immer davon abgesehen, Venenkleber und Mikroschaum simultan einzusetzen. Dazu gibt es verschiedene Gründe. Zum Einen die Absprachen des Mainzer VenaSeal – Forums zur Anwendung des VenaSeal® – Venenklebers, zum Anderen die durchaus plausible Überlegung, erst einmal die Stammkrampfadern effektiv mittels des VenaSeal® – Verfahrens zu verschließen und dann die klinische Entwicklung abzuwarten.
Saphenion®: Vein Glue and Microfoam simultaneously?
To this time we have forgone to make a simultaneous therapy of VenaSeal and microfoam at the same leg. We have different reasons. On the one hand, our agreement was at the last VenaSeal meeting in Mainz, Germany.On the other hand, the plausible consideration is to close the truncal veins at first and have a wait-and-see attitude to the clinical results.
Saphenion®: Venenkleber und Mikroschaum simultan? Fall – / Therapiebeschreibungen
In den letzten 5 Jahren haben wir begonnen, bei einigen Patienten eine Therapie – Kombination von Venenkleber und Mikroschaum einzusetzen. Dies betraf in der Regel klinische und sonografische Befunde, die durch eine Einzeltherapie nur unzureichend effektiv hätten behandelt werden können. In jedem Fall wurden unsere Patienten darüber aufgeklärt und konnten diese simultanen Therapie dann wählen.
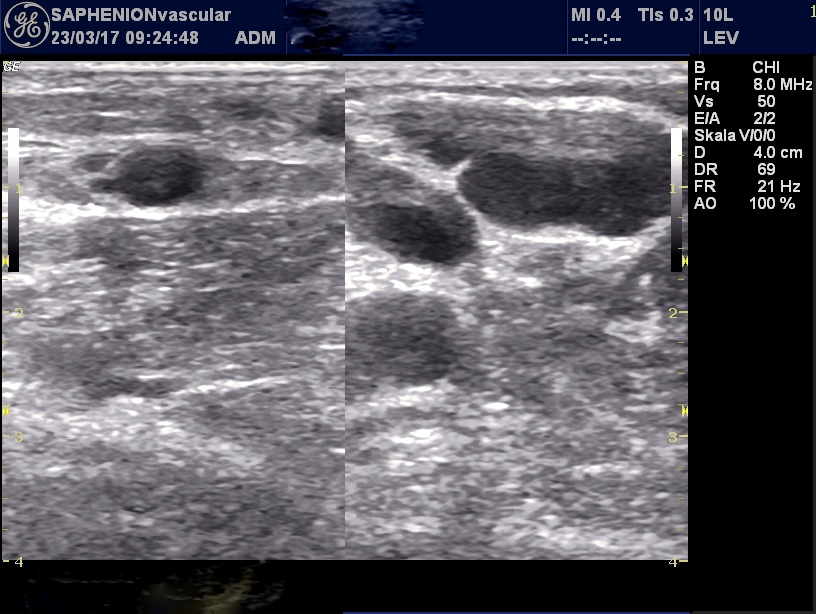
Post operative Sonographie nach VenaSeal® der V. saphena parva – krossennahe Aneurysmata und ektatische Venen aus der Giacomini – Vene gespeist und in die Parvakrosse mündend…


In the last 5 years, we have started to use a therapy – a combination of vein glue and microfoam in some patients. This usually concerned clinical and sonographic findings that could have been insufficiently effectively treated by single therapy. In each case, our patients were informed about this and could choose this simultaneous therapy.
Post-operative ultrasound after VenaSeal of SSV – nearly the junction we found aneurysmatic and ecstatic side branches to the popliteal junction coming from the Giacomini`s vein


Intra operative Sonographie – zunächst direkte Punktion der Aneurysmata und ektatischen Venenabschnitte mittels Minikatheter ultraschallgestützt – Abgabe von 2 -3 Tropfen VenaSeal in diese Abschnitte und Wahrung des Therapieprotokolls (alle 2 – 3 cm = 0,09ml Kleber) – danach Mikroschaum der Seitenastvaricosis
Intra-operative ultrasound – at first direct punction of aneurysmatic and ectatic parts of side branches ultrasound-guided – injection of 2 – 3 ml of glue into these parts with keeping the therapy protocol ( all 2 – 3 cm one drop with 0,09 ml of glue) – after this microfoam of normal side branches.


Saphenion®: Venenkleber und Mikroschaum simultan? Zustand nach Verklebung eines Aneurysmas und gleichzeitiger Mikroschaumtherapie von Seitenästen
Post operativer Ultraschall zeigt Verschluss der venösen Erweiterungen bis an die Einmündung in die Knievene heran, auch die mit Mikroschaum behandelten Venen sind verschlossen.
Post-operative ultrasound shows the closure of ectatic parts until the popliteal junction and also the closure of side branches after microfoam therapy.
Saphenion®: Venenkleber und Mikroschaum simultan? Ein aktueller Therapieablauf
Ein neuer aktueller Fall aus diesem Jahr: Eine Kombination aus VenaSeal® – Venenkleber und Mikroschaumtherapie bei der Behandlung einer Seitenastvaricosis (Mikroschaum und einer sehr stark ausgeprägten Verbindungsvene am re. Unterschenkeln mit bereits stark verändertem Unterhautgewebe und brauner Haut (Atrophie blanche):
A new recent case from this year: A combination of VenaSeal® vein glue and microfoam therapy in the treatment of a side branch varicosis on the lower leg (microfoam) and a very pronounced junction vein on the right lower leg with already heavily altered subcutaneous tissue and local brown skin discoloration (atrophie blanche):




Saphenion®: Venenkleber und Mikroschaum simultan? Unsere Meinung
Der gemeinsame therapeutische Einsatz von Venenkleber und Mikroschaum ist möglich. Die Dominanz des Klebers bei der Therapie der Stammvaricosis wird gewahrt bleiben, ebenso wie die Dominanz der Mikroschaumtherapie bei der Seitenasttherapie. Es gibt aber in anatomisch komplizierten Fällen die Möglichkeit, im Sinne der höheren Effektivität beide Verfahren effektiv zu kombinieren. Eine alleinige Therapie von Seitenästen mit VenaSeal® hingegen sehen wir nach wie vor nicht.
Im Gegensatz zur landläufigen Meinung, daß eine gleichzeitige Anwendung von Venenkleber und Mikroschaum an einem Bein zu einem vermehrten Auftreten von Venenentzündungen (Oberflächlichen Venenthrombose – OVT) und daraus folgend, zu Thrombosen der tiefen Venen führen kann, haben wir diese Komplikationen in keinem der behandelten Fälle gesehen oder nachbehandeln müssen.
The simultaneous therapy of VenaSeal and microfoam is possible. The glue is our first choice in the therapy of truncal veins, the foam is our first choice in treating side branches. But there are some complicated cases with abnormal anatomic situations we can combine both techniques in one session in a sense of higher effectiveness. But we don’t see the treatment of side branches only with glue.
Contrary to popular belief that simultaneous application of vein glue and microfoam to one leg can lead to increased incidence of phlebitis (superficial vein thrombosis – OVT) and consequent thrombosis of deep veins, we have not seen or had to re-treat these complications in any of the cases treated.
Photos / Videos: S. Nina, Utzius
Links / Paper:
Alukhanian OA, Belentsov SM, Gabibullaev RÉ, Martirosian KG, Alukhanian AO. Sochetannoe primenenie maloinvazivnykh metodov v lechenii varikoznoĭ bolezni u pozhilogo patsienta [Combined use of minimally invasive methods in treatment of varicose veins in an elderly woman]. Angiol Sosud Khir. 2021;27(1):75-81. Russian. doi: 10.33529/ANGIO2021122. PMID: 33825732.
Chernookov A, Ramishvili V, Dolgov S, Nikolaev A, Atayan A, Belykh E. [ACTUAL STRATEGY OF TREATMENT VARICOSE VEINS RECURRENCE AFTER ENDOVENOUS INTERVENTIONS]. Georgian Med News. 2021 Apr;(313):26-33. Russian. PMID: 34103425.
King T, Coulomb G, Goldman A, Sheen V, McWilliams S, Guptan RC. Experience with concomitant ultrasound-guided foam sclerotherapy and endovenous laser treatment in chronic venous disorder and its influence on Health Related Quality of Life: interim analysis of more than 1000 consecutive procedures. Int Angiol. 2009 Aug;28(4):289-97. PMID: 19648872.
Liakhovskyi VI, Sydorenko AV, Riabushko RM. COMPLICATIONS AND EVALUATION OF QUALITY OF LIFE IN PATIENTS AFTER LESS-INVASIVE TREATMENT OF VARICOSE VEINS OF THE LOWER EXTREMITIES. Wiad Lek. 2022;75(6):1540-1543. doi: 10.36740/WLek202206120. PMID: 35907230.
https://pubmed.ncbi.nlm.nih.gov/26036246/
https://www.saphenion.de/news/saphenion-faktencheck-venaseal-venenkleber-fuer-krampfadern
https://www.saphenion.de/news/saphenion-long-time-results-of-vein-glue